鞘内注射培美曲塞联合程序性死亡蛋白-1抑制剂治疗实体瘤脑膜转移的Ⅰ期临床研究 |
| 刘苗苗, 黄育珊, 杨国姿, 邰盼盼, 陈晓, 刘敏, 潘振宇 |
|
Phase Ⅰ study of intrathecal pemetrexed combined with programmed death-1 inhibitor for leptomeningeal metastases from solid tumors |
| LIU Miaomiao, HUANG Yushan, YANG Guozi, TAI Panpan, CHEN Xiao, LIU Min, PAN Zhenyu |
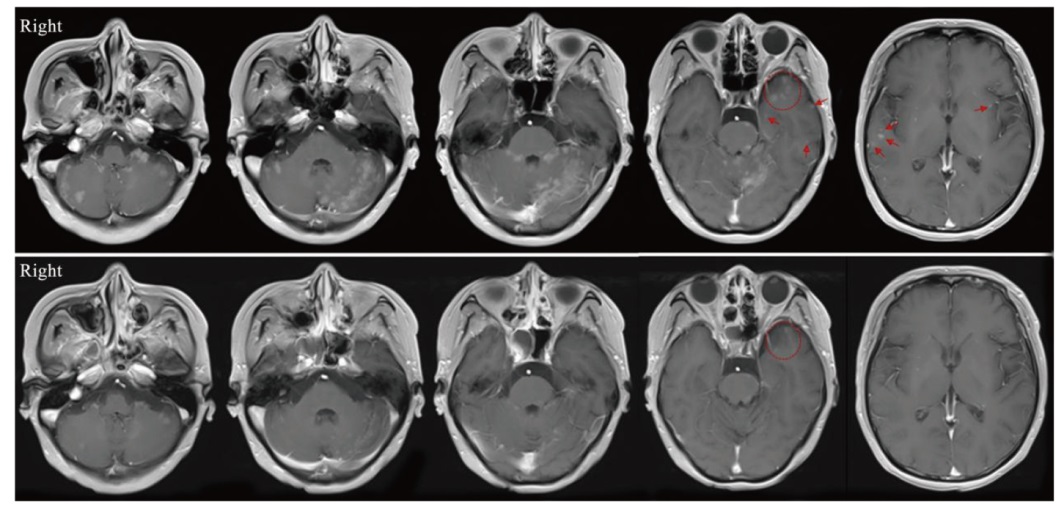
| 图2 第1例患者治疗前后脑磁共振成像对比 |
| Fig. 2 Comparison of brain magnetic resonance imaging before and after treatment in the first patient Red markings indicate lesions that have regressed or disappeared outside the irradiation field. |
|