China Oncology ›› 2025, Vol. 35 ›› Issue (10): 946-951.doi: 10.19401/j.cnki.1007-3639.2025.10.007

• Article • Previous Articles     Next Articles

The diagnostic value of zero echo time magnetic resonance imaging for skull base bone invasion in nasopharyngeal carcinoma

LIN Jiahao1(), FENG Meimei1, LIN Kongqi1, LIN Fengjie2, CHEN Yunbin1   

  1. 1. Department of Radiology, Fujian Cancer Hospital, Clinical Oncology School of Fujian Medical University, Fuzhou 350014, Fujian Province, China
    2. Department of Radiation Oncology, Fujian Cancer Hospital, Clinical Oncology School of Fujian Medical University, Fuzhou 350014, Fujian Province, China
  • Received:2025-06-20 Revised:2025-09-15 Online:2025-10-30 Published:2025-11-19
  • Contact: LIN Jiahao
  • Supported by:
    Natural Science Foundation of Fujian Province(2022J011051)

Abstract:

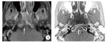
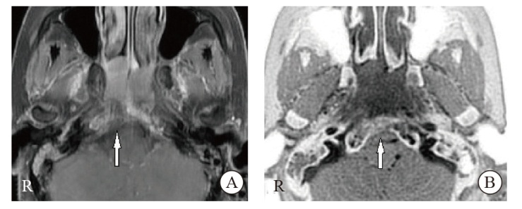
Background and purpose: Owing to the reliance on computed tomography (CT) for evaluating skull-base bone invasion in nasopharyngeal carcinoma and the potential harm of ionizing radiation from CT, zero echo time magnetic resonance imaging (ZTE-MRI) offers high-resolution bone delineation without radiation exposure. Therefore, this study aimed to systematically assess the diagnostic performance of ZTE-MRI for detecting skull-base bone invasion and to explore its clinical feasibility as an alternative to CT. Methods: This prospective study collected 95 nasopharyngeal carcinoma patients treated in Fujian Provincial Cancer Hospital from April 2020 to December 2022 as the research subjects. The patients who do not meet the inclusion standards would be excluded. Using the GE Discovery 750W 3.0T MR scanner to obtain unenhanced scan and enhanced scan, using ZTE-MRI technology to obtain ZTE-MRI and CT image. The results of the imaging scans were used to independently assess skull base bone invasion by two radiologists. This study was approved by the Ethics Committee of Fujian Cancer Hospital (K2025-314-01), and informed consent from the patients were obtained. Results: A total of 80 nasopharyngeal carcinoma patients were included in the final analysis. There was a high degree of consistency between CT diagnosis of nasopharyngeal carcinoma skull base bone invasion and of gold standards, and the difference was statistically significant (κ=0.645, P<0.001). There was a high degree of consistency between ZTE-MRI diagnosis of nasopharyngeal carcinoma skull base bone invasion and of gold standards, and the difference was statistically significant (κ=0.774, P<0.001). There was a high degree of consistency between ZTE-MRI combined with conventional MRI diagnosis of nasopharyngeal carcinoma skull base bone invasion and gold standards, and the difference was statistically significant (κ=0.912, P<0.001). Conclusion: ZTE-MRI technology provides "like CT" images for the skull base bone invasion in nasopharyngeal carcinoma, and ZTE-MRI technology can replace CT examination in clinical practice.

Key words: Nasopharyngeal carcinoma, Skull base, Computed tomography, Magnetic resonance imaging, Zero echo time

CLC Number: