中国癌症杂志 ›› 2025, Vol. 35 ›› Issue (11): 1041-1048.doi: 10.19401/j.cnki.1007-3639.2025.11.006

• 论著 • 上一篇    下一篇

鞘内注射培美曲塞联合程序性死亡蛋白-1抑制剂治疗实体瘤脑膜转移的Ⅰ期临床研究

刘苗苗(), 黄育珊, 杨国姿, 邰盼盼, 陈晓, 刘敏, 潘振宇()()   

  1. 广州医科大学附属惠州医院/惠州市第三人民医院肿瘤放疗科,广东 惠州 516000
  • 收稿日期:2025-06-12 修回日期:2025-07-12 出版日期:2025-11-30 发布日期:2025-12-12
  • 通信作者: 潘振宇 E-mail:dr-zypan@163.com
  • 作者简介:刘苗苗(ORCID: 0009-0009-2073-3272),硕士,住院医师。
  • 基金资助:
    惠州市科学技术局科技创新团队项目(2023EQ050012);广东省基础与应用基础研究基金项目(2023A1515140145);广州医科大学科研强基项目(2024SRP215)

Phase Ⅰ study of intrathecal pemetrexed combined with programmed death-1 inhibitor for leptomeningeal metastases from solid tumors

LIU Miaomiao(), HUANG Yushan, YANG Guozi, TAI Panpan, CHEN Xiao, LIU Min, PAN Zhenyu()()   

  1. Department of Radiation Oncology, Affiliated Huizhou Hospital of Guangzhou Medical University/Third People’s Hospital of Huizhou City, Huizhou 516000, Guangdong Province, China
  • Received:2025-06-12 Revised:2025-07-12 Published:2025-11-30 Online:2025-12-12
  • Contact: PAN Zhenyu E-mail:dr-zypan@163.com
  • Supported by:
    Science and Technology Innovation Team Project of Huizhou Science and Technology Bureau(2023EQ050012);Guangdong Province Basic and Applied Basic Research Fund Project(2023A1515140145);Guangzhou Medical University Research Capacity Enhancement Project(2024SRP215)

摘要:

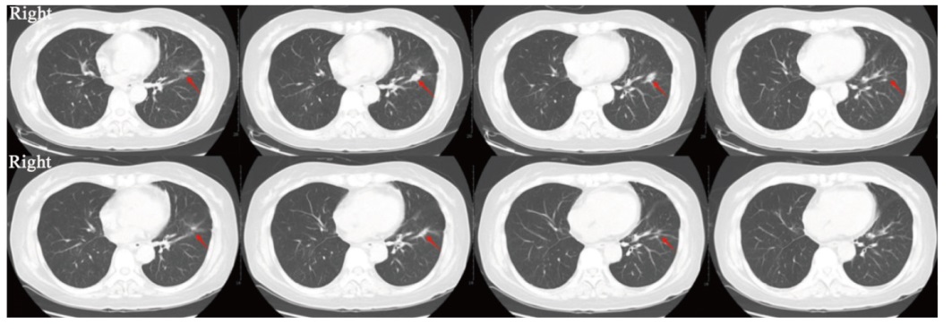
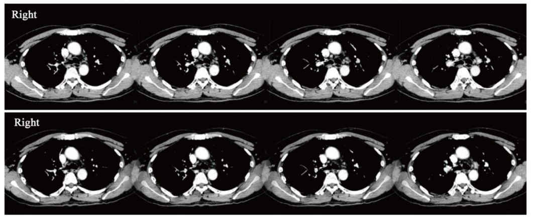
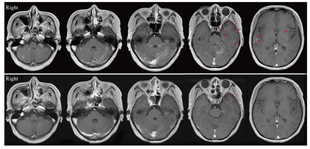
背景与目的:鞘内化疗是治疗实体瘤脑膜转移(leptomeningeal metastases,LM)的主要方法之一。既往的Ⅰ期临床研究证实了鞘内程序性死亡蛋白-1(programmed death-1,PD-1)抑制剂治疗黑色素瘤LM的安全性和潜在疗效。系统化疗联合PD-1抑制剂的协同抗肿瘤作用已被广泛认可。本研究旨在探索鞘内注射培美曲塞联合PD-1抑制剂治疗实体瘤LM的安全性及可行性。 方法:以广州医科大学附属惠州医院/惠州市第三人民医院收治的实体瘤LM患者为研究对象,采用“3+3”剂量递减策略,寻找推荐的安全给药剂量。培美曲塞给药方案为初始诱导治疗2次/周,连续2周;随后巩固治疗1次/周,连续4周;治疗有效的患者给予每个月1次维持治疗。PD-1抑制剂给药从第4次培美曲塞给药开始,每2周1次,连续6周;随后对治疗有效的患者,与培美曲塞同时给予每个月1次维持治疗。单次给药起始剂量为PD-1抑制剂(特瑞普利单抗)40 mg、培美曲塞15 mg。主要研究终点为安全性及推荐给药剂量,安全性基于不良反应进行评估。同时观察临床有效率(clinical response rate,CRR)、疾病控制率(disease control rate,DCR)和总生存期(overall survival,OS)。本研究经广州医科大学附属惠州医院/惠州市第三人民医院伦理委员会审批通过(伦理编号:2024-KY-029-01)。 结果:2024年6—9月共入组7例患者(男性3例,女性4例,中位年龄57岁),包括非小细胞肺癌6例和乳腺癌1例。所有患者的脑脊液(cerebrospinal fluid,CSF)细胞学检查结果均为阳性。6例存在LM相关神经功能障碍。5例存在LM相关影像学异常。6例完成诱导及巩固治疗并接受维持治疗。1例因细菌性脑膜炎未完成巩固期最后1次PD-1抑制剂鞘内给药,感染控制后接受维持治疗。总不良反应发生率为100%(7/7),包括骨髓抑制7例(100.00%)、转氨酶升高3例(42.86%)、乏力2例(28.57%)和甲状腺功能减退1例(14.29%)。其中3级不良反应发生率为42.86%(3/7),全部为骨髓抑制。免疫相关不良反应(immune-related adverse event,irAE)发生率为14.29%(1/7),为Ⅱ级甲状腺功能减退。未见剂量限制毒性(dose-limiting toxicity,DLT)发生,推荐剂量为PD-1抑制剂40 mg联合培美曲塞15 mg。3例患者神经功能改善,1例CSF细胞学检查结果转阴,2例影像学缓解。根据神经肿瘤疗效评估(response assessment in neuro-oncology,RANO)标准,CRR为57.14%(4/7),DCR为100%(7/7)。3例出现远隔效应,分别表现为脑转移灶、原发肺病灶及纵隔淋巴结缩退。截至2025年4月10日,1例死亡,中位随访时间为7.7(5.9~9.3)个月。中位OS未达到。6个月OS率为85.71%。 结论:鞘内注射培美曲塞联合PD-1抑制剂治疗非小细胞肺癌等实体瘤LM患者显示出良好的安全性和可行性,并且具有潜在的临床疗效。

关键词: 实体瘤, 脑膜转移, 鞘内注射, 抗程序性死亡蛋白-1, 培美曲塞, Ⅰ期临床研究

Abstract:

Background and purpose: Intrathecal chemotherapy is one of the mainstay treatment options for leptomeningeal metastases (LM) from solid tumors. A previous phase Ⅰ study demonstrated the safety and potential efficacy of intrathecal anti-programmed death receptor 1 (anti-PD-1) for LM from melanoma. The synergistic efficacy of systemic chemotherapy combined with anti-PD-1 has been widely known. This study aimed to evaluate the safety and feasibility of intrathecal chemotherapy (pemetrexed) and anti-PD-1 (toripalimab) for LM patients from solid tumors. Methods: The subjects were patients with LM from solid tumors who were treated at Affiliated Huizhou Hospital of Guangzhou Medical University/Third People’s Hospital of Huizhou City. A 3+3 dose de-escalation strategy was implemented to determine the recommended dose with an initial dose of PD-1 inhibitor (toripalimab) 40 mg and pemetrexed 15 mg. Pemetrexed was administered twice weekly for the initial 2 weeks of induction therapy, once weekly for the subsequent 4 weeks of consolidation therapy, and once monthly during maintenance therapy. PD-1 inhibitor was initiated at the 4th administration of pemetrexed, administered every 2 weeks for 6 weeks; subsequently, responders continued monthly maintenance therapy alongside pemetrexed. The primary objective was to assess safety based on adverse events and the recommended dose. All participants were observed to investigate the clinical response rate (CRR), disease control rate (DCR) and overall survival (OS). This study was approved by the ethics committee of Affiliated Huizhou Hospital of Guangzhou Medical University/Third People’s Hospital of Huizhou City (ethics number: 2024-KY-029-01). Results: Seven patients (male: 3, female: 4, median age: 57 years) were enrolled between June and September 2024, including non-small cell lung cancer (6) and breast cancer (1). All patients presented with positive cerebrospinal fluid (CSF) cytology. Six patients presented LM-related neurological dysfunction. Five patients showed LM-related neuroimaging findings. Six patients completed the induction and consolidation therapy, and subsequently received maintenance therapy. One patient, due to bacterial meningitis, did not complete the final administration of toripalimab during consolidation therapy, and maintenance therapy was administered after infection control. Adverse events rate was 100% (7/7), including myelosuppression (100.00%, n=7), elevation of hepatic aminotransferases (42.86%, n=3), fatigue (28.57%, n=2) and hypothyroidism (14.29%, n=1). Three (42.86%) patients had grade 3 adverse events (myelosuppression). The immune-related adverse event (irAE) rate was 14.29%, manifested as hypothyroidism (Grade 2). No dose-limiting toxicity (DLT) was observed. Thus, no de-escalation was applied. The recommended dose was determined to be PD-1 inhibitor 40 mg in combination with pemetrexed 15 mg. Three patients showed improved neurological dysfunction, 1 with CSF cytological response, and 2 with neuroimaging improvement. CRR was 57.14% (4/7) by response assessment in neuro-oncology (RANO) proposal criteria. DCR was 100% (7/7). Three patients exhibited abscopal effects with regression of brain metastasis lesions, primary lung lesion and mediastinal lymph nodes, respectively. As of April 10, 2025, 1 patient died. The median follow-up time was 7.7 (5.9-9.3) months. The median OS was not reached with a 6-month OS rate of 85.71%. Conclusion: The combination therapy of intrathecal pemetrexed and a PD-1 inhibitor was well-tolerated and feasible, while also exhibiting potential clinical efficacy in treating LM from solid tumors including non-small cell lung cancer.

Key words: Solid tumors, Leptomeningeal metastases, Intrathecal therapy, Anti-programmed death-1, Pemetrexed, Phase Ⅰ study

中图分类号: